Facetas de Resina, Clareamento e Reabilitação Oral com um toque de naturalidade e personalização. Cuide do seu sorriso com quem entende a importância da estética e autoestima.
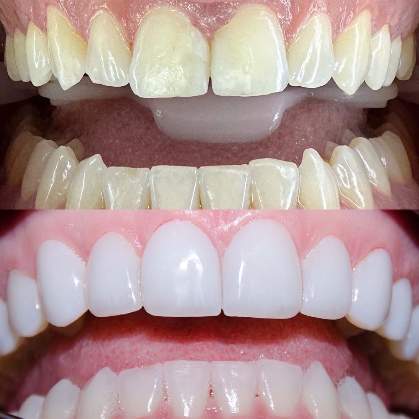
Facetas de resina composta direta
Transforme seu sorriso com facetas que alinham e renovam seus dentes com um acabamento natural e sofisticado.
Limpeza e Clareamento dental
Dentes mais brancos e saudáveis com protocolos que garantem um sorriso radiante sem comprometer o esmalte dental.

Próteses removíveis (Dentadura e Roach)
Solução prática e confortável para devolver a função e estética do seu sorriso.

Prótese fixa sobredentes naturais (Coroas)
Restauração durável e segura para dentes comprometidos, com um acabamento natural.

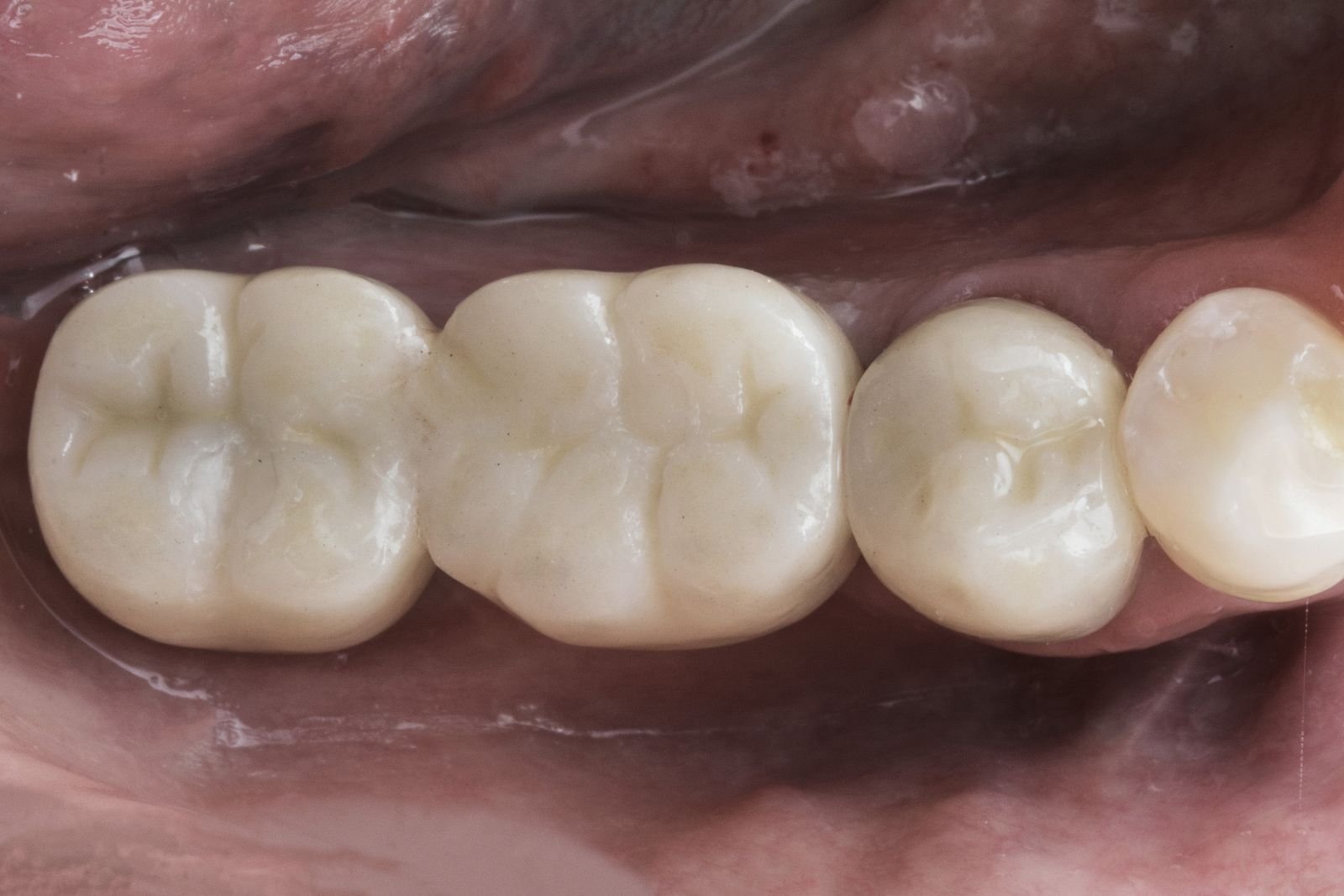
Restaurações
Recupere a estética e a saúde dos seus dentes com restaurações resistentes e imperceptíveis.

Sorrisos transformados com naturalidade e sofisticação!











O que nos torna especiais? Deixe nossos pacientes te contarem!









Dra. Bruna Martins
Sou apaixonada por transformar sorrisos e elevar a autoestima dos meus pacientes! Meu foco é proporcionar um atendimento humanizado, com técnicas modernas que garantem um resultado sofisticado e natural.
✨ Experiência e especialização em estética do sorriso.
✨ Facetas de resina naturalistas, para um sorriso harmonioso.
✨ Abordagem personalizada para cada paciente.

Não! Meu foco é criar sorrisos naturais e harmônicos, sem aquele efeito exagerado. Cada faceta é esculpida para combinar perfeitamente com seu rosto.
Com os cuidados certos, podem durar entre 5 e 10 anos. Recomendo retornos periódicos para manutenção e ajustes, se necessário.
Não! O desgaste é mínimo ou inexistente, pois trabalhamos de forma minimamente invasiva para preservar sua estrutura dental.
Não! O clareamento realizado em consultório é seguro, utilizando técnicas que evitam sensibilidade excessiva e preservam a saúde do esmalte.
Sim! Mas cada caso precisa ser avaliado individualmente para garantir um encaixe perfeito e um resultado natural.
Na consulta, analisamos seu sorriso, discutimos seus objetivos e explicamos as melhores opções de tratamento para você.

Copyright © 2025 Dra. Bruna Martins – Todos os direitos reservados.